Login
Create Account
  • Current Issue
  • Archive
  • Departments
  • Subspecialties
  • About
    About AAOS Now Advertising Submissions Editorial Board and Staff Contact the Editor About AAOS Headline News Now AAOS Now Daily Edition
Don't Lose Your Membership! Pay Dues Before March 31!

AAOS Now / Issue

AAOS Now, October 2025

Annual Meeting Video Interviews Your AAOS Clinical Quality & Research Practice Management Professional Development Advocacy Residency Biologics Commentary International COVID-19
  • Video highlights single-incision fasciotomy for compartment syndrome of the lower extremity

    Neil Jain, MD; Michael DeRogatis, MD, MS; Paul Issack, MD, PhD, FAAOS, FACS

    Lower-extremity compartment syndrome is a devastating condition if not promptly diagnosed and managed.

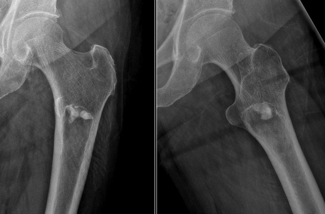
  • Bone-RADS is a novel scoring system to differentiate lytic bone lesions

    Alec Bigness, MD; Jamie Caracciolo, MD; Odion Binitie, MD, FAAOS

    Orthopaedic surgeons often encounter radiographic findings that raise concern for undiagnosed malignancies, with diagnoses ranging from benign bone cysts to metastases or primary bone tumors.

  • Radiation exposure is a hidden burden in orthopaedic surgery

    Julia Perugini, BS; Jad Lawand, MS; Pooya Hosseinzadeh, MD, FAAOS

    This article highlights the known risks associated with radiation exposure and outlines strategies for protection and education.

  • Effective leadership in the OR starts with emotional intelligence

    Christopher Iobst, MD

    Whether they realize it or not, all orthopaedic surgeons are placed in a position of leadership.

  • Ergonomics in the OR cannot be overlooked

    Sean A. Tabaie, MD, MBA, FAAOS

    Orthopaedic surgery demands precision, endurance, and strength.

  • ‘Can you hear me, doc?’: Is it time to take OR noise seriously?

    Benjamin Boss, AuD, CCC-A; Christopher J. DeFrancesco, MD

    Repeated exposure to hazardous sound levels can damage cochlear hair cells and cause permanent noise-induced hearing loss .

  • Cognitive ergonomics can reduce the burden of mental fatigue

    David Bennett, MD; Pooya Hosseinzadeh, MD, FAAOS; Keith Baldwin, MD, MS

    For orthopaedic surgeons, the challenge of cognitive fatigue is often unavoidable.

  • Sponsored Video: Not all sNPWT products are equally supported

    The PICO System has been shown to reduce the odds of SSIs2 and costly surgical reinterventions.

Please log in.

Some AAOS Now articles are available only to AAOS members. Please log in to access this article.

 
Not a member? Become a member.

  • 9400 West Higgins Road

    Rosemont, Illinois 60018

    Phone: 847.823.7186

    Fax: 847.823.8125

    • About AAOS
    • Online Learning
    • Clinical Practice Guidelines
    • Career Center
    • Find an Orthopaedist
    • Newsroom
    • Contact Us
    • Corporate Engagement
    • Join Team AAOS
    • Privacy Policy
    • Terms of Use
    • Code of Conduct
    • AAOS Trust Center

    Download the Membership App

© 1995-2026 by the American Academy of Orthopaedic Surgeons. "All Rights Reserved." This website and its contents may not be reproduced in whole or in part without written permission. "American Academy of Orthopaedic Surgeons" and its associated seal and "American Association of Orthopaedic Surgeons" and its logo are all registered U.S. trademarks and may not be used without written permission.