AAOS Now, March 2026
-
Orthobiologics expands treatment for rotator cuff tears
Rotator cuff tears represent one of the most common causes of shoulder pain and dysfunction, particularly among aging, athletic, and labor-intensive populations.
-
Upper extremity injuries increase as rock climbing ascends
Rock climbing is a popular sport around the word and is gaining in popularity.
-
Young, growing athletes greatly benefit from a multidisciplinary team working in unison
Caring for young athletes can be one of the most rewarding — and most complex — responsibilities in orthopaedic surgery.
-
New literature expands on the role of lateral extra-articular procedures for patients needing ACL reconstruction
While the outcome of anterior cruciate ligament (ACL) reconstruction is generally successful, clinical failure, including secondary injury of the ACL graft or excessive laxity of the repaired knee, still occurs with frequency.
-
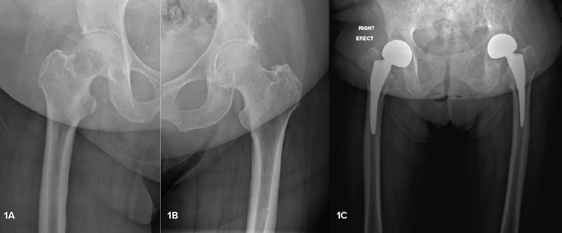
Hip replacement in metastatic disease: Guidance for the non-oncology surgeon
Orthopaedic surgeons will increasingly be needed to care for oncology patients with pathologic fractures, infection, and other complications.
-
OVT video shows hypothenar fat pad flap is a reliable way to obtain local coverage of the median
Carpal tunnel syndrome is one of the most prevalent focal mononeuropathies, constituting 90% of neuropathy cases.
-
Does suture tape aid return to play after lateral ankle ligament reconstruction?
Suture tape augmentation of the modified Broström procedure has emerged as a promising adjunct that may facilitate accelerated rehabilitation and earlier return to athletic competition.