Clinical Practice Guideline
Published December 2, 2022
This clinical practice guideline is intended for use with patients with an isolated clavicle fracture that has been diagnosed by a trained healthcare professional. It is not intended to guide the treatment of clavicle fractures in the polytraumatized patient.

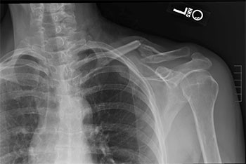
Photo Courtesy of Aaron Mark Chamberlain, MD, MSc, MBA, FAAOS
Clinical practice guidelines (CPG) provide evidence-based recommendations for current orthopaedic diagnostic, treatment, and postoperative procedures. Multdisciplinary clinician work groups and AAOS staff work together to synthesize published research with the aim of providing a transparent and robust summary of the research findings for a particular orthopaedic disease topic.
Shoulder and Elbow, Trauma, and Pediatric Toolkits
The Shoulder and Elbow, Trauma, and Pediatric Toolkits are a collection of related information, resources, and tools to assist AAOS members in making informed practice decisions based on evidence-based recommendations and/or practice standards. The information provided compiles advocacy, practice management, and quality improvement resources while including clinical and patient education.

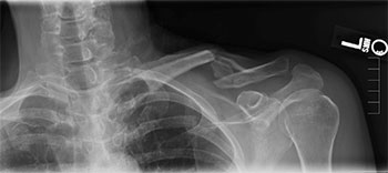
Photo Courtesy of Aaron Mark Chamberlain, MD, MSc, MBA, FAAOS
Articles
AAOS journals and news sources often publish addtional information about quality programs and guidelines. Note that these resources are available exclusively to AAOS members and your login is required to access them.

OrthoInfo Patient Resources
OrthoInfo, the AAOS patient education website, features more than 400 articles, videos, and animations on common orthopaedic problems, surgical procedures, nonsurgical treatments, injury prevention, and healthy living. Written in simple language, all content is developed and peer reviewed by AAOS members. The following OrthoInfo articles contain patient information on the clinical guideline topic shown at the top of the page.
